下面我将为您详细解释这个问题的原因、危害、处理方法以及最重要的预防措施。

为什么会发生坏牙导致牙根外露?
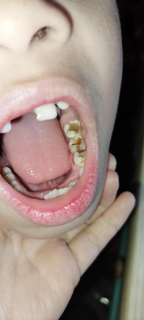
这个过程通常不是一蹴而就的,而是牙齿龋坏(俗称蛀牙、虫牙)一步步发展的结果:
- 龋齿初期(浅龋):牙齿表面出现白垩色或褐色斑点,孩子可能没有感觉。
- 龋齿中期(深龋):蛀洞变大,深入到牙本质,孩子开始对冷、热、甜、酸的食物敏感,可能感到疼痛。
- 龋齿晚期(穿髓或根尖周炎):细菌通过蛀洞感染了牙齿内部的牙髓(神经和血管),这时疼痛会加剧,甚至可能形成脓包。
- 牙齿坏死与脱落:如果牙髓感染没有得到及时治疗,牙髓会坏死,牙齿失去营养支持,变得脆弱、发黑,牙齿可能从根部开始松动、断裂,导致牙冠部分大面积缺失,牙根暴露在外。
牙根外露是严重龋齿导致牙齿结构被严重破坏后的结果,而不是一个独立的疾病。
牙根外露会带来哪些危害?
危害是多方面的:
- 剧烈疼痛:牙根暴露时,牙神经(牙髓)很可能已经坏死或感染,会引起持续性或阵发性的剧烈疼痛,严重影响孩子的饮食和睡眠。
- 影响咀嚼功能:牙齿无法正常使用,孩子不敢用患侧咀嚼,长期会导致偏侧咀嚼,影响颌骨和肌肉的正常发育。
- 影响营养吸收:咀嚼困难会导致孩子进食量减少,或偏爱软食,从而影响营养的均衡摄入。
- 影响发音和美观:门牙(前牙)的缺失会影响孩子的发音,如“s”、“z”等音,牙齿缺失也会影响面部美观,可能导致孩子产生自卑心理,不愿开口笑。
- 恒牙发育问题:
- 空间占位:乳牙过早缺失,旁边的牙齿会向空隙倾斜,导致将来恒牙萌出时位置不足,造成牙齿拥挤不齐。
- 恒牙胚损伤:严重的根尖炎症可能穿透牙槽骨,影响到下方正在发育的恒牙胚,导致恒牙发育不良、釉质缺损或萌出异常。
- 口腔健康恶化:坏死的牙齿会成为细菌的温床,增加邻牙龋坏的风险,并可能引发牙龈炎、牙周炎等更广泛的口腔问题。
发现牙根外露了怎么办?(处理方法)
核心原则:立即带孩子去看牙医! 越早处理,保留牙齿的可能性越大,对孩子的伤害越小。

牙医会根据孩子的具体情况(年龄、牙齿损坏程度、牙根状况等)制定治疗方案:
-
根管治疗(乳牙牙髓治疗):
- 目的:清除感染的牙髓,对牙齿进行消毒和填充,保留住这颗牙齿,维持其在口腔中的位置和功能,直到它自然替换。
- 过程:清除坏死的牙髓,对根管进行彻底清洁和消毒,最后用无毒的材料填塞根管,治疗完成后,牙齿虽然没有了生命力,但可以被保留下来。
- 为什么重要:这是治疗严重龋齿、保留乳牙最核心的方法,对于维持间隙、保护恒牙胚至关重要。
-
牙冠修复:
- 目的:做完根管治疗后,牙齿会变得非常脆弱,为了防止牙齿在使用中断裂,医生会在牙齿上安装一个特制的牙冠(俗称“牙套”)来保护它。
- 材料:通常使用不锈钢预成冠,它坚固耐用,能很好地恢复牙齿的形态和功能。
-
拔除患牙:
(图片来源网络,侵删)- 什么情况下需要拔牙:如果牙齿破坏过于严重,牙根也吸收了,无法进行根管治疗和修复,或者已经完全脱落,就需要拔除。
- 拔牙后的处理:
- 空间保持器:这是最关键的一步! 乳牙拔除后,为了避免邻牙倾斜,牙医通常会建议制作一个“间隙保持器”,为将来恒牙的萌出预留出足够的空间。千万不要认为“反正要换牙”就放任不管!
如何预防坏牙和牙根外露?(重中之重)
预防永远是成本最低、效果最好的方法。
-
有效刷牙:
- 频率:每天早晚各一次,饭后漱口。
- 方法:使用“巴氏刷牙法”,确保牙齿的每个面(尤其是牙龈边缘)都被刷到。
- 工具:为不同年龄段的孩子选择大小合适的软毛牙刷,并每3个月更换一次,从长出第一颗牙开始,就要使用含氟牙膏(米粒大小,3岁以下;豌豆大小,3-6岁)。
-
健康饮食:
- 减少糖分摄入:控制糖果、饼干、蛋糕、含糖饮料(尤其是碳酸饮料)的摄入频率和量,吃完甜食后,最好用清水漱口。
- 增加纤维食物:多吃蔬菜、水果等,有助于清洁牙齿表面,按摩牙龈。
- 规律进餐:减少零食次数,避免口腔长时间处于酸性环境。
-
定期口腔检查:
- 时间:建议每6个月带孩子看一次牙医。
- 目的:牙医可以早期发现龋齿的迹象,在蛀洞很小的时候就能进行简单的补牙,阻止其发展成严重问题,可以进行专业的涂氟和窝沟封闭,有效预防龋齿。
-
窝沟封闭:
- 对象:通常在6岁左右的恒磨牙(“六龄齿”)和12岁左右的第二恒磨牙上做。
- 作用:将牙齿表面容易积聚食物残渣的深沟隙用安全的树脂材料填平,形成一个保护层,有效预防龋齿。
-
涂氟:
- 作用:氟化物可以增强牙齿的抗酸能力,促进早期龋损的再矿化,是预防龋齿非常有效的方法。
儿童坏牙导致牙根外露是口腔健康的“红色警报”,它意味着孩子的牙齿问题已经非常严重,必须由牙医进行专业干预,家长要摒弃“乳牙反正会换”的错误观念,积极带孩子治疗,并根据医嘱决定是保留乳牙还是拔除后佩戴间隙保持器。
更重要的是,从此刻起,要建立严格的口腔卫生习惯和定期检查的意识,保护好孩子剩下的牙齿和即将萌出的恒牙,为他们一生的口腔健康打下坚实的基础。
标签: 儿童牙根外露原因 儿童龋齿牙根预防 儿童坏牙牙根治疗